
عيادة غيم للعناية بالأسنان
اكثر عيادة مريحة في العراق!
طب اسنان الاطفال
باستخدام البنج الالكتروني و غاز الضحك و كادر متمرس للعناية باطفالكم
الحل المثالي لتعويض الاسنان المفقودة و التالفة
حل مثالي اذا تريد ابتسامة مثالية
زراعة الاسنان
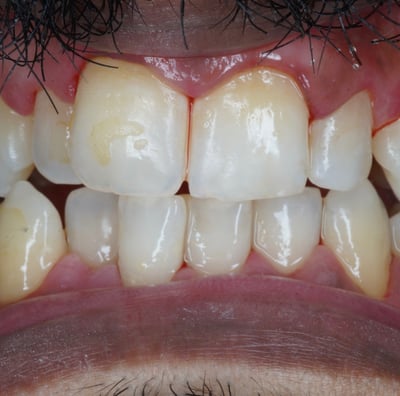
ابتسامة جميلة ومشرقة مع الفينير.
عيادة غيم للعناية بالأسنان
عيادة غَيم لطب الأسنان هي مركز متخصص في تقديم خدمات طب الأسنان المتكاملة في بغداد، وتحديدًا في منطقة العطيفية. تُعرف العيادة بتقديمها خدمات متميزة للبالغين والأطفال، مع التركيز على الراحة وجودة الرعاية.


1000+
5000+
سن مُعالج
حالة علاجية
خدمات العيادة
نقدم خدمات متكاملة لطب الأسنان للبالغين والأطفال مع التركيز على الجودة والراحة.
زراعة الأسنان
تقنيات حديثة توفر حلول دائمة لفقدان الأسنان مع رعاية متكاملة.
الحشوات المختبرية
تُستخدم لعلاج الأسنان المتضررة بشدة، بدقة أعلى ومتانة تدوم أكثر من الحشوات التقليدية.
باستخدام البنج الالكتروني و غاز الضحك و كادر متمرس للعناية باطفالكم.
طب أسنان الأطفال




خدمات العيادة
نقدم خدمات متكاملة لطب الأسنان للبالغين والأطفال مع التركيز على الجودة والراحة.
الحشوات التجميلية
حلول تجميلية للاسنان الامامية و الخلفية و بنتائج طبيعية


ابتسامة المشاهير
تُستخدم لعلاج الأسنان المتضررة بشدة، بدقة أعلى ومتانة تدوم أكثر من الحشوات التقليدية.
علاج صحي و مثالي مع رعاية مثالية طول فترة العلاج
تقويم الاسنان
اليوم جنت يمكم العياده تخبببل نظافه المكان والالعابوالاطباء شغلهم كُلش حلوالحمدلله جنت شايله هم لبنتي بس كملنه الحشوه الها 💜🤍
علياء حسون
عاشت ايدكم د. محمد و د.احمد ما شاء الله شغلهم كلش نظيف عن تجربة و اسعارهم مميزة
دينا ياسين
★★★★★
★★★★★
تعالوا شوفوا شغلنا
استعرض خدماتنا المتميزة في رعاية الأسنان للأطفال والبالغين.




















عنواننا
العطيفية، داخل عيادات القمة الاستشارية، بجوار سالم دعبول، الطابق الثالث.
اوقات الدوام
من السبت الى الخميس
3 ظهرا - 9 مساءاًِ
للاتصال واتساب
7750708052
7850408052
